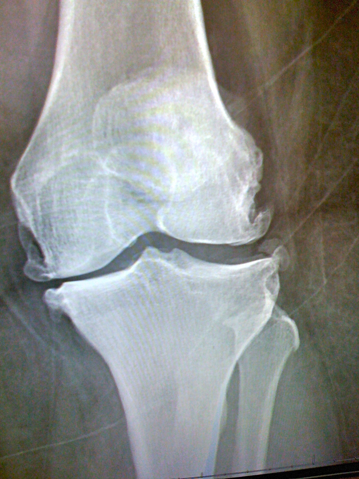
I went to my ortho doctor recently and he did some new xrays. If you’ve ever wanted to see what advanced arthritis of the knees looks like- here you go!
I took a picture of my xrays with my phone. As you can see, I’m bone on bone.
And see those little hooks on the ends of my bones? Those are calcium deposits from the arthritis. The round things are my knee caps. Apparently they are higher than they should be. Looks like I’ve got coasters on my thighs!
Bless Your Heart
Living out loud in the Carolinas
recent posts
Vacation Consultant 🛳️ Color Street Stylist 💅
Mom to 3 pups 🐾
Lover of all things sparkly🪩 Ally 🌈
Posted in health